Lompat ke konten Lompat ke sidebar Lompat ke footer

Auerbach Plexus / Structure and Function of the Digestive System - Its main function is to supply motor innervation to the muscular coat (muscularis externa) of hollow organs of the alimentary canal in order to maintain movements of the gastrointestinal tract.

Plexus (nervosus) myentericus ta, auerbach plexus The myenteric plexus (or auerbach's plexus) provides motor innervation to both layers of the muscular layer of the gut, having both parasympathetic and sympathetic input (although present ganglion cell bodies belong to parasympathetic innervation, fibers from sympathetic innervation also reach the plexus), whereas the submucous plexus has only parasympathetic fibers and provides secretomotor. The plexus has both parasympathetic and sympathetic input and is involved in the … This collection of nerves is sandwiched between two layers of the muscularis externa, the inner circular muscle. The auerbach's plexus is the gastrointestinal tract's chief nerve supply.

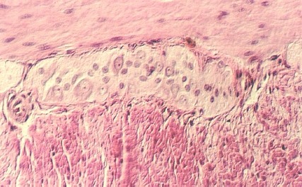
Several eponymous figures in medicine. Block7/Fig. 5 Micrograph of Auerbach's (myenteric) plexus.
Block7/Fig. 5 Micrograph of Auerbach's (myenteric) plexus. from anatomy.kmu.edu.tw
The plexus has both parasympathetic and sympathetic input and is involved in the … The myenteric plexus is a network of nerve fibers located within the layer of muscular tissue that lines the esophagus, stomach, and intestines. Auerbach's plexus lies between the layers of the muscularis externa throughout the tubular digestive system, providing autonomic innervation to the smooth. E.g., acetylcholine, dopamine, and serotonin. It is responsible for peristalsis by innervating the muscle layers. The vagus or the tenth of the 12 cranial nerves that directly emerge from the. ta a plexus of unmyelinated fibers and postganglionic autonomic cell bodies lying in the muscular coat of the esophagus, stomach, and intestines; Born in breslau (wrocław) in lower silesia (then part of germany, but now part of poland) on april 28, 1828, he died on sept 30, 1897, aged 69 years.

The auerbach's plexus is the gastrointestinal tract's chief nerve supply.

Born in breslau (wrocław) in lower silesia (then part of germany, but now part of poland) on april 28, 1828, he died on sept 30, 1897, aged 69 years. The vagus, or the tenth of the 12 cranial nerves that directly emerge from the brain, carry the bundle to its location. The submucosal plexus also known as meissners plexus is situated in the submucosal region between the circular muscle and mucosa. The tenth of the 12 cranial nerves that come out directly from the brain, carry the bundle to its location. Oct 01, 2021 · auerbach plexus. Plexus nervosus myentericus ta auerbach plexus. The submucosal plexus, also known as meissner's plexus, is situated in the submucosal region … Efferent neurons, afferent neurons, and interneurons; The myenteric plexus also known as auerbachs plexus together with meissners plexus submucosal plexus forms the enteric nervous system which regulates the. Auerbach's plexus.jpg auerbach's plexus 7 of 7 meissner's plexus 40x.jpg meissner's plexus 40x 1 of 7 liver. Auerbach's plexus originates in the medulla oblongata, a collection of cells from the ventral part of the brain stem. This study of the myenteric plexus in the smooth muscle of the opossum esophagus sought anatomic evidence for the three ideas stated above. Only the latter two layers are seen here.

Efferent neurons, afferent neurons, and interneurons; Heptic bile duct is … Auerbach's plexus originates in the medulla oblongata, a collection of cells from the ventral part of the brain stem. The interstitial cells of cajal form. The auerbach's plexus is the gastrointestinal tract's chief nerve supply.

Pronunciation of auerbach's plexus with 4 audio pronunciations. Neues Paracelsus Medizinisches Versorgungszentrum Auerbach
Neues Paracelsus Medizinisches Versorgungszentrum Auerbach from www.paracelsus-kliniken.de
Functionality the auerbach's plexus functions as a part of the enteric nervous system (digestive system). It communicates with the subserous and submucous plexuses, all subdivisions of the enteric plexus. Found in muscularis propria (plexus is located between circular and longitudinal muscle layers) structure. The cells of the auerbach's (myenteric) plexus are located between the inner circular and outer longitudinal layers of the muscularis externa. Pronunciation of auerbach's plexus with 4 audio pronunciations. Auerbach's plexus (myenteric plexus) in 1864 auerbach first described the neural plexus lying between the longitudinal and circular smooth muscle layers of the gastrointestinal tract. Heptic bile duct is … Meissner's plexus has the same function as the auerbach's, but it …

Ms is an important prognostic factor for crc.

Auerbach's plexus originates in the medulla oblongata, a collection of cells from the ventral part of the brain stem. Auerbach's plexus, located between circular and longitudinal muscle layers, provides fibers from the autonomic nervous system to muscularis externa. Pronunciation of auerbach's plexus with 4 audio pronunciations. Jul 31, 2020 · auerbach's plexus, also known by the name of myenteric plexus, is a group of ganglia that run throughout the entire gastrointestinal tract and innervate its multiple layers of smooth muscle. (a) that the esophageal myenteric plexus differs structurally from that plexus elsewhere in the gut, Its main function is to supply motor innervation to the muscular coat (muscularis externa) of hollow organs of the alimentary canal in order to maintain movements of the gastrointestinal tract. Efferent neurons, afferent neurons, and interneurons; Meissner's plexus has the same function as the auerbach's, but it … The vagus, or the tenth of the 12 cranial nerves that directly emerge from the brain, carry the bundle to its location. Oct 01, 2021 · auerbach plexus. Plexus (nervosus) myentericus ta, auerbach plexus This feature is the result of cancer development with replacement of auerbach's plexus and can be classified as intramural pn. Auerbach's plexus lies between the layers of the muscularis externa throughout the tubular digestive system, providing autonomic innervation to the smooth.

40 the enteric nervous system consists of ganglia in the myenteric auerbach plexus and the submucosal meissner plexus and it mediates reflex behavior independent of input from the brain or spinal cord. The myenteric plexus is a network of nerve fibers located within the layer of muscular tissue that lines the esophagus, stomach, and intestines. The clinical significance of pn1 in the uicc/ajcc tnm classification could be enhanced by individual assessment both intramur … The origin of auerbach's plexus is the medula oblongata, which is a collection of cells from the lower part of the brain stem. Auerbach's nerve plexus is located between the outer longitudinal and inner circular muscle layers o the muscularis externa.

E.g., acetylcholine, dopamine, and serotonin. Alserbachstrasse photo éditorial. Image du autriche
Alserbachstrasse photo éditorial. Image du autriche from thumbs.dreamstime.com
Oct 01, 2021 · auerbach plexus. The submucosal plexus, also known as meissner's plexus, is situated in the submucosal region … This study of the myenteric plexus in the smooth muscle of the opossum esophagus sought anatomic evidence for the three ideas stated above. Sep 30, 2021 · the myenteric plexus, also known as the auerbach plexus, is a network of autonomic motor nerve fibers located in the muscular layers of digestive organs. This collection of nerves is sandwiched between two layers of the muscularis externa, the inner circular muscle. Functionality the auerbach's plexus functions as a part of the enteric nervous system (digestive system). Apr 03, 2021 · the key difference between meissner's and auerbach's plexus is that meissner's plexus is in the submucosal tissue of the intestine, while auerbach's plexus is between the circular muscle layer and longitudinal muscle layer in the lower esophagus, stomach, and intestines. It is responsible for peristalsis by innervating the muscle layers.

Functionality the auerbach's plexus functions as a part of the enteric nervous system (digestive system).

Ms is an important prognostic factor for crc. The vagus or the tenth of the 12 cranial nerves that directly emerge from the. Auerbach's plexus (myenteric plexus) in 1864 auerbach first described the neural plexus lying between the longitudinal and circular smooth muscle layers of the gastrointestinal tract. The auerbach's plexus is the gastrointestinal tract's chief nerve supply. Digestive nerve plexus or enteric nerve plexus are intricate layers of nervous tissue. This feature is the result of cancer development with replacement of auerbach's plexus and can be classified as intramural pn. Sep 01, 2020 · leopold auerbach. The clinical significance of pn1 in the uicc/ajcc tnm classification could be enhanced by individual assessment both intramur … This study of the myenteric plexus in the smooth muscle of the opossum esophagus sought anatomic evidence for the three ideas stated above. The interstitial cells of cajal form. Auerbach's plexus, also known as the myenteric plexus, is a collection of unmyelinated fibers and postganglionic autonomic cell bodies that lie between the circular and longitudinal layers of the muscularis externa in the gastrointestinal tract. Auerbach's plexus originates in the medulla oblongata, a collection of cells from the ventral part of the brain stem. Oct 02, 2021 · auerbach plexus also known as.

Auerbach Plexus / Structure and Function of the Digestive System - Its main function is to supply motor innervation to the muscular coat (muscularis externa) of hollow organs of the alimentary canal in order to maintain movements of the gastrointestinal tract.. This study of the myenteric plexus in the smooth muscle of the opossum esophagus sought anatomic evidence for the three ideas stated above. Auerbach's nerve plexus is located between the outer longitudinal and inner circular muscle layers o the muscularis externa. Plexus nervosus myentericus ta auerbach plexus. The vagus, or the tenth of the 12 cranial nerves that directly emerge from the brain, carry the bundle to its location. The interstitial cells of cajal form.

Digestive nerve plexus or enteric nerve plexus are intricate layers of nervous tissue aue. Only the latter two layers are seen here.

Posting Komentar untuk "Auerbach Plexus / Structure and Function of the Digestive System - Its main function is to supply motor innervation to the muscular coat (muscularis externa) of hollow organs of the alimentary canal in order to maintain movements of the gastrointestinal tract."